XXI зууны Монгол улсын эмгэнэлт дүр төрхийг Улаанбаатарын утаа тоос, орон гэргүй хүмүүс, эх захгүй архичид, Эрээнээс эхлээд Бээжин цаашилбал азийн орнуудад халдварт өвчин адил тархан биеэ үнэлж байгаа монгол бүсгүйчүүдээр төлөөлүүлэн хардаг. Харин монгол газар шороон дээр хөл тавьсан харийнхны хувьд онгон дагшин байгаль хийгээд орвонгоор нь эрүүлээд хаячихсан газрын хөрс, нинжа нарын амьдрал, хархорин, нарантуул орчмоор “хог” зардаг түүдэг нөхдүүдийг гэрэл зургийн хальснаа буулган Монголыг гадаадад энэ байдлаар нь сурталчилдаг.
Харин ил харагдаж үзэгдэж байгаа эдгээр дүр төрхийн цаана нуугдаж байгаа хөшигний ар дахь амьдрал буюу халдварт өвчин XXI зууны Монгол улсын эмгэнэл төдийгүй мөхөл рүүгээ аажмаар дөхөж байгаа үзэгдэл болж байгаа гэдэгтэй хэн ч маргахгүй биз. Шинжлэх ухаан хөгжиж үхсэнийг сэргээхээс бусдыг хийж чаддаг өнөө үед Монгол улс тэмбүү, заг хүйтэн, сүрьеэ өвчнөөс салж чадаагүйгээр барахгүй дээрх өвчнөөр өвчилсөн хүмүүсийн тоо ч нэмэгдэх хандлагатай байгаа юм.
Тэр ч бүү хэл хороо цэрэг сүрьеэ туссан хэдий ч тухайн цэргийн ангийнхан мэдээлэл өгөхөөс татгалзаж ар гэрийнхэнийг нь уулзуулахгүй байна гэх гомдлын мэдээллийг Дорнод аймгийн иргэд өгөв. Гэхдээ албаны эх сурвалжийн хэлж байгаагаар цэргүүд арай л хороогоороо сүрьеэ тусаагүй бололтой. Ямартай ч Дорнод аймаг дахь Зэвсэгт хүчний 327 дугаар ангид алба хааж байсан 4 байлдагч сүрьеэ тусч өдгөө нийслэлд эмчлүүлж байгаа юм байна. Харин үлдсэн цэргүүдийг шинжилгээнд оруулж байгаа бөгөөд нийслэлээс цэргийн госпиталийн эмч нарын баг томилогдон тус цэргийн ангийн байлдагч нарт үзлэг шинжилгээ хийж байгаа аж.

Гэтэл дөрвийн дөрвөн цэрэг өвчилж нийслэлд хүргэгдэн эмчилгээ хийлгэж байхад тус ангийн захирагч хурандаа С.Нэргүй хариуцлагагүй мэдэгдэл хийн өөрийгөө хаацайлахыг оролдож суугаа аж. Тэрбээр сүрьеэ гэдгийг нь батлан хэлэх боломж алга. Одоогоор үзлэг шинжилгээ хийгдэж байна хэмээж. Сүрьеэ өвчний шинж тэмдэг тунчиг тодорхой. Дээрээс нь нийслэлд хүргэгдэн эмчлүүлж байгаа дөрвөн цэргийн онош сүрьеэ гэдгийг хэлээд өгч байгаа бус уу. Аль эвсэл дээрх дөрвөн цэргийн оношийг тогтоогоогүй атал эмчилгээ хийгээд байгаа юм уу.
Уг нь өвдсөн байлдагч нараас өвчин нь хүндэрч болзошгүй гэж үзсэн дөрвөн байлдагчийг нийслэл рүү илгээсэн гэж байгаа ч өдгөө онош нь тодроогүй хэмээн мэдэгдэж байгааг юу гэж ойлгох билээ.
Энэ мэтээр учир битүүлэг хариултаар өөрийгөө хаацайлж, өрөөлд бурууг чихэх гэсэн асуудал ар араасаа хөврөх бололтой. Хэрэв иргэд эл асуудлыг мэдэж гадагш нь мэдээлээгүй бол тус цэргийн ангийн байлдагч нар сүрьеэ өвчинд дарлагдан байсаар ч хал цэрэг болж халдварт өвчин тээсээр харих байсан байж ч магадгүй юм.
Азаар эл асуудлыг иргэд мэдээлж гадагшлуулснаар тус цэргийн ангид бугшиж байсан олон асуудал ил болох юм. Учир нь сүрьеэ өвчин үүсэхэд нийгэм болон орчны эрүүл ахуйн таагүй байдал, хоол тэжээлийн дутагдал, дархлаа сулрах, стресс зэрэг олон хүчин зүйл нөлөөлдөг.
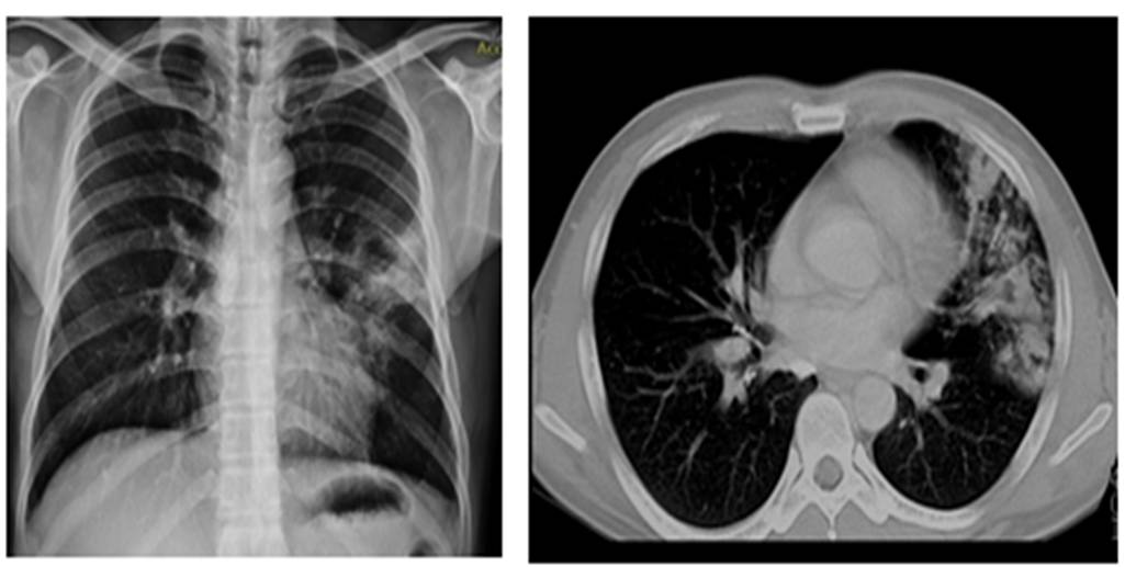
Нөгөө талаар сүрьеэ өвчин нь нэгээс нөгөөд амьсгалын замаар халдварладаг. Уушгины хэлбэрийн сүрьеэтэй өвчтэй хүнийг ярих, ханиах, найтаахад эргэн тойронд нь их хэмжээний сүрьеэгийн нян тархаж байдаг. Өвчтөнтэй ойр байсан хүмүүс уг нян агуулсан агаараар амьсгалсанаар халдвар авдаг. Шинэ эзний биед нянгийн үржих тохиромжтой хэсэг нь уушиг юм. Уушигнаас нян цусаар дамжин бусад эрхтэн системд очдог. Уушигны хэлбэрийн сүрьеэ нь халдвартай ба бусад эрхтэний сүрьеэ нь халдваргүй. Уушигны хэлбэрийн сүрьеэтэй өвчтөнтэй ойр байгаа хүмүүс халдвар авах боломж их байдаг. Сүрьеэгийн нянгийн халдвар авсан хүн болгон сүрьеэгээр өвчлөхгүй. Энэ нь хүний дархлалын систем буюу биеийн эсэргүүцэлтэй ихээхэн холбоотой. Хүмүүсийн дархлал нь өвчин үүсгэгч нянгийн идэвхжлийг зогсоон удаан хугацаагаар хяналтандаа барьж байдаг. Гэвч ямар нэг хүчин зүйлийн нөлөөгөөр дархлалын систем нь суларвал "зүүрмэглэж байсан" сүрьеэгийн нян идэвхтэй үржиж өвчнийг үүсгэдэг гэмтэй. Тиймээс сүрьеэ дагасан асуудал их. Ямартай ч XXI зууны монголын эмгэнэл болсон эл асуудлыг дагасан олон хэрэг дардайх бололтой.
Н.Ананд

Сэтгэгдэл ( 8 )
bi ene tuhai mednee ene owchnoor 14 baildag ch*********
huue budagchinguudaa **ivaa yumiig heteruulen medeelj niigemd buhimd** bitgii uusgeed baigaach
huue budagchinguudaa **ivaa yumiig heteruulen medeelj niigemd buhimd** bitgii uusgeed baigaach
huue budagchinguudaa **ivaa yumiig heteruulen medeelj niigemd buhimd** bitgii uusgeed baigaach
huue budagchinguudaa **ivaa yumiig heteruulen medeelj niigemd buhimd** bitgii uusgeed baigaach
Нохойн махаар хоол хийж өгөх хэрэгтэй юм байна даа.
Ёо айлааш дээ. Юун сүртэй муу ёрын гарчиг өгдөг юм.
Ardin huuhduudig **j bgaan bishuu